
Your Emergency Dentist in Colleyville is Available 24/7

We’re proud to be serving the greater Colleyville and DFW area! Our friendly dental office is located at 1104 Professional Ct B, Colleyville, TX 76034.
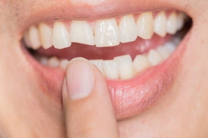
We’ve treated hundreds of emergency patients. Whether it be a cracked tooth, swelling, bleeding, or multiple broken teeth, we have the experience and technology to restore your smile fast.

Even if the tooth is not painful yet, it’s important to make sure you see a dentist right away. The internal and delicate areas of the tooth may now be exposed to different types of bacteria in the mouth. If the tooth is left unprotected, this could quickly lead to new decay.

If you rapidly lose a filling, call to get to the dentist at the soonest available time you can. At your grocery or pharmacy, you can find dental cements that are good to use as a temporary gap while you are waiting.

Our team will take any necessary x-Swelling is usually due to an infection, and if said swelling is causing you to have difficulty breathing, or causes your eye to become swollen, you definitely need emergency dental care right away, and you may need antibiotics.

A great dental practice, with lovely friendly staff! Definitely recommend their services.
– Shauna Rogers

Staff if very professional, they are efficient, I never have to wait to be seen. In these times of COVID, I felt they took all the necessary precautions for both my safety as well as their own.
– Donna Jackson

I enjoy my visits to Serene Dental due to the friendly staff.
Dr. Karri is very gentle, explains the procedure and does beautiful
work. I would be happy to recommend Serene Dental to my friends and
Family.
– Steve Gorey
© Emergency Dentist Colleyville